先天性颅神经支配障碍(congenital cranial dysinnervation disorders,CCDD)包括以异常的眼睛、眼睑和/或面部运动为特征的先天性和非进行性神经发育障碍[1]。CCDD是由特定颅运动神经元的发育改变或轴突生长和导向改变导致,多个不同基因的突变与其发病机制有关[2]。先天性眼外肌纤维化(congenital fibrosis of extraocular muscles,CFEOM)是CCDD的一种,以先天性上睑下垂和非进行性眼肌麻痹为特征的CCDD,主要影响动眼肌的肌肉功能,包括2种显性亚型(CFEOM1、CFEOM3)和1种隐性亚型(CFEOM2)[3]。本文报告就诊于中南大学湘雅二医院(以下简称“我院”)眼科的1个3型β-微管蛋白(type 3 β-microtubule protein,TUBB3)基因突变CFEOM家系,结合文献总结其临床表型,以期提高临床医师对该病的认识。
病例资料
临床资料
先证者,女,10岁,因“出生时发现右眼向内偏斜”于2022年8月17日入住我院。患者家属诉出生时发现患儿右眼向内偏斜,并伴右眼上睑下垂,无眼红、眼痛等不适,无明显视力下降,在当地医院检查、治疗,偏斜逐渐加重,就诊于本院,并以“非共同性斜视”收入眼科。既往2021年7月于外院行右眼右下直肌后徙及上直肌缩短术。全身状况良好,否认食物、药物过敏史。未婚未育。家族史:母亲自小左眼眼睑下垂,姐姐正常,父亲正常。
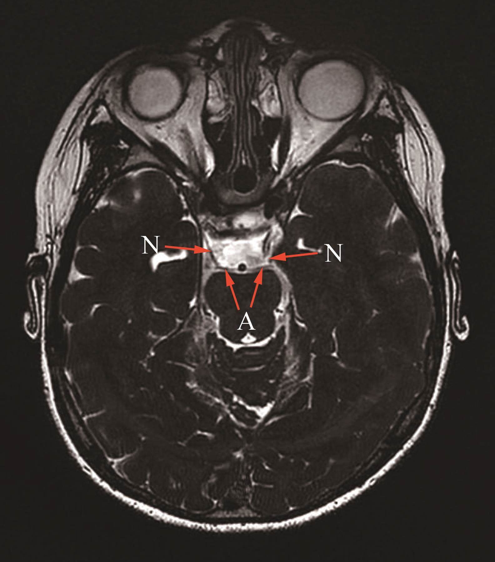
专科检查结果:1)右眼裸眼视力为0.4,左眼裸眼视力为0.8。2)外眼检查示眼睑正常,泪器、泪点正常,附属器正常。3)注视性质为中心注视。4)无代偿头位。5)双眼运动为双眼向上、向下运动减弱(图1)。6)斜视度为L/R 30△。7)右眼上睑下垂(图1C),右眼睑裂高度为4.5 mm,左眼睑裂高度为9 mm;右眼提上睑肌肌力为0,左眼提上睑肌肌力为8,双眼Bell征阴性;右眼瞳孔直径为3~4 mm,左眼瞳孔直径为2.5 mm。8)无眼球震颤。9)主导眼为右眼。10)屈光介质正常。11)眼底未见明显异常。验光结果:右眼+0.75/+1.0*100→0.8;左眼+0.5/+0.5*80→1.0。患儿动眼神经磁共振平扫+增强+水成像(图2)结果示双侧动眼神经脑池段血管接触阳性。
2025年7期/10.11817j.issn.1672-7347.2025.240596/alternativeImage/E34B3053-F5F8-4509-96B3-8C9FFC5BBCE7-F001.jpg)
2025年7期/10.11817j.issn.1672-7347.2025.240596/alternativeImage/E34B3053-F5F8-4509-96B3-8C9FFC5BBCE7-F002.jpg)
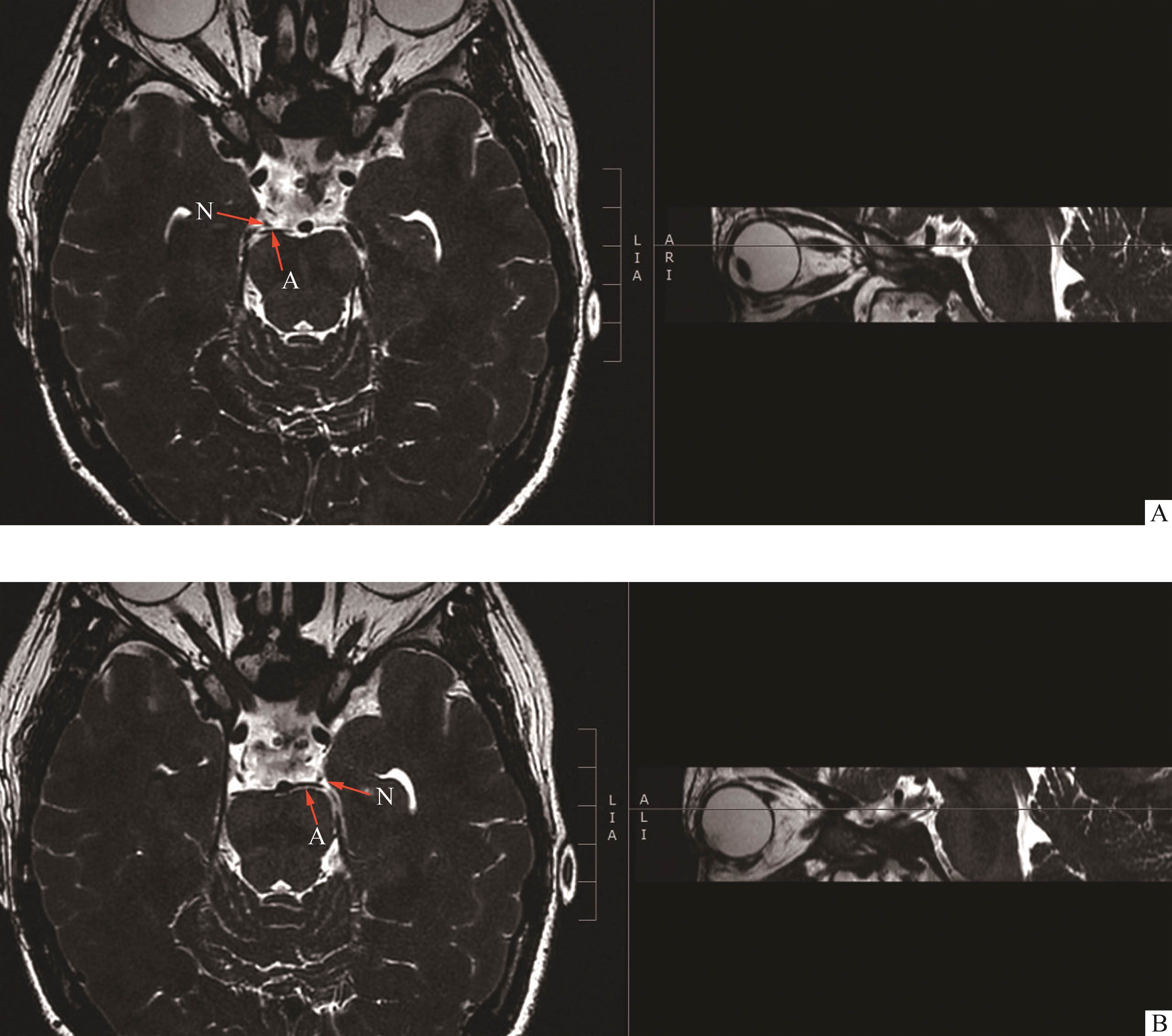
患儿母亲情况:母亲自小左眼眼睑下垂。双眼向上、向下运动明显减弱(图3)。斜视度为R/L 30△。有明显的左眼上睑下垂;右眼睑裂高度为12 mm,左眼睑裂高度为0.5 mm,右眼提上睑肌肌力为9 mm,左眼提上睑肌肌力为0 mm,双眼Bell征为阴性。患儿母亲动眼神经磁共振平扫+增强+水成像(图4)结果示左侧动眼神经较对侧纤细,双侧动眼神经桥前池段血管接触阳性。
2025年7期/10.11817j.issn.1672-7347.2025.240596/alternativeImage/E34B3053-F5F8-4509-96B3-8C9FFC5BBCE7-F003.jpg)
2025年7期/10.11817j.issn.1672-7347.2025.240596/alternativeImage/E34B3053-F5F8-4509-96B3-8C9FFC5BBCE7-F004.jpg)
基因检测
经家属签字同意后抽取患儿及其父母静脉血,送至北京贝瑞和康生物技术有限公司行DNA变异点检测。使用全外显子组高通量测序检测技术,利用该公司自主研发的Verita Trekker变异位点检测系统和Enliven变异位点注释解读系统对数据进行分析。受检者和母亲样本检测到TUBB3基因的1个变异,判读为可能致病(图5)。受检者在TUBB3基因上发生c.904G>A杂合突变,染色体位置在chr16:89935355-89935355,编码区第904号核苷酸由G变为A,为错义突变。TUBB3基因的错义突变干扰微管动力学,损害驱动蛋白的相互作用,并导致以轴突引导和神经元迁移缺陷为特征的各种神经紊乱[4]。检测结果显示该患儿母亲发生杂合突变,父亲未发生突变,因此突变来自患儿母亲,符合常染色体显性遗传致病模式。
2025年7期/10.11817j.issn.1672-7347.2025.240596/alternativeImage/E34B3053-F5F8-4509-96B3-8C9FFC5BBCE7-F005.jpg)
根据美国医学遗传学与基因组学学会(American College of Medical Genetics and Genomics,ACMG)指南及ClinGen序列变异解释(sequence variant interpretation,SVI)专家组对指南标准的应用建议,以及在HPO(Human Phenotype Ontology)、OMIM(Online Mendelian Inheritance in Man)、GHR(Genetics Home Reference)等数据库中查找与眼睑下垂、动眼神经麻痹、眼球运动异常、CFEOM、颅神经异常等表型或疾病相关基因变异进行筛查,提示TUBB3基因的c.904G>A突变为可能致病突变位点[5-6]。
对该变异进行分析,TUBB3:NM_006086.4:exon4:c.904G>A:p.A302T变异为可能致病(PM1+PM2+PP3+PS3_Supporting+PS4_Supporting)。证据具体如下。1)中等致病性证据PM1:文献[7]报道该变异位于基因的关键功能域;2)中等致病性证据PM2:该变异并未在神州基因组数据库、人类外显子数据库(ExAC)和参考人群千人基因组(1000G)中得到任何记录或发现,在人群基因组突变频率数据库(gnomAD)中的频率为2.89503e-05;3)支持致病性证据PP3:经过REVEL(Rare Exome Variant Ensemble Learner)方法进行预测,结果显示该变异对基因或其产物产生了明确的有害影响;4)支持致病性证据PS3_Supporting:文献[4]报道免疫沉淀实验表明该变异已对基因的正常功能造成了明显损害; 5)支持致病性证据PS4_Supporting:文献[7]报道共在多例(2~5例)动眼神经发育不全疾病患者中检出该变异;6)该已知变异在ClinVar数据库中评定为P:该已知变异在人类基因突变数据库(Human Gene Mutation Database,HGMD)中评定为疾病引起突变(disease-causing mutation,DM)[4, 7-8];7)经公共数据库查询,TUBB3基因的突变会导致常染色体显性遗传疾病CFEOM 3A型,主要表现为CFEOM、上睑下垂、轴索性周围神经病、面部神经麻痹、手指弯曲、全面发育迟缓、胼胝体发育不全、眼上直肌萎缩、手指关节痉挛、上睑提肌萎缩、弱视、特定的学习障碍、腕关节屈曲挛缩、非进行性限制性眼外肌麻痹、补偿的下巴抬高、外斜视,与该患儿的CFEOM、上睑下垂的临床症状相符。综上,TUBB3基因c.904G>A突变为该受检者致病变异。
诊疗及随访
2022年8月17日于我院行斜视矫正手术。被动牵拉试验示左眼下转稍受限,右眼上转稍受限,探查发现右上直肌肌纤维薄弱,大部分缺失,针对剩余肌纤维行缩短5 mm,同时转位内外直肌1/3肌纤维于颞上、鼻上象限(Nishida术),术毕眼位位正,眼球运动尚可。患儿斜视术后2周复查,角膜映光法结果(图6)示位正。2023年7月28日于我院行上睑下垂矫正手术,即右眼额肌瓣悬吊手术。术后第2天,患儿一般情况可,眼睑皮肤切口对合良好,无红肿及渗出,缝线在位,睑缘弧度自然,双眼睑裂基本对称,无倒睫及睑外翻,角膜湿润透明。术后症状得到明显改善。
2025年7期/10.11817j.issn.1672-7347.2025.240596/alternativeImage/E34B3053-F5F8-4509-96B3-8C9FFC5BBCE7-F006.jpg)
本报道已获得患者及其家属的知情同意。
讨 论
CFEOM是一种具有遗传倾向的先天性眼外肌功能障碍性疾病,其主要临床特征包括先天性非进展性眼外肌麻痹,以及引发的眼球运动受限与上睑下垂现象,发病率为1/23万~1/25万[3]。CFEOM分为3种表型[9]:CFEOM1是最常见的经典CFEOM表现型,它属于完全外显的常染色体显性遗传;CFEOM2是少见的CFEOM表型,其遗传方式为隐性遗传;CFEOM3则属于非经典CFEOM表型。
CFEOM1是最常见的CFEOM表型。CFEOM1异常的神经主要为自脑干发出的动眼神经病变,第IV(滑车神经)和VI脑神经(外展神经)也存在不同程度的异常[10]。临床表现为典型的双侧上睑下垂,常伴有双眼下斜视症状,被动牵拉试验结果呈现阳性,双眼上转受限并伴不同程度的水平注视受限,患者倾向于采取仰头的异常姿势[3]。磁共振成像(magnetic resonance imaging,MRI)多提示上睑提肌和上直肌发育不良,动眼神经上支先天缺损或发育不良[11]。此型通常与全身异常无关,遗传方式主要为常染色体显性遗传,最常见的原因是编码一种运动蛋白的KIF21A基因突变[1]。此蛋白质属于一个依赖于微管的分子马达蛋白超家族,该分子马达的主要功能是负责运输细胞内货物,如mRNA、蛋白质、囊泡和细胞器等[12]。此突变的一个热点是在第三卷曲-卷曲柄区域,蛋白质内部大部分的运动发生在该区域(约70%的突变导致氨基酸取代R954W)。KIF21A基因突变会导致轴突阻滞和神经支配异常[12-13]。
CFEOM2较罕见。CFEOM2异常的神经为第III和IV脑神经核的异常发育,双侧上睑下垂是其主要临床表现,并伴有大角度的外斜视,同时,患者的水平和垂直眼位运动均严重受限[14]。部分患者瞳孔小且反应迟钝,偶尔伴有视网膜营养不良[14]。MRI表现为动眼神经核和滑车神经核的原发性发育缺陷[1]。遗传方式为常染色体隐性遗传,主要见于近亲家庭[13]。编码同源结构域转录因子的PHOX2A基因的突变导致动眼神经核和滑车神经核发育异常,引发了该表型[13-14]。在动物模型中,PHOX2A基因各自涉及神经元发育的特定阶段,并且很可能在人类中也是如此[14-15]。
CFEOM3主要是动眼神经不同程度的发育缺陷。临床表现多样,患者可以双侧或单侧发病,眼球运动可以完全受限或轻度受限。牵拉试验阳性。CFEOM3常与其他神经发育异常和智力或残疾有关。脑MRI可以显示胼胝体、前连合、皮质脊髓束和基底神经节的发育不良[1]。遗传方式是常染色体显性遗传。大多数CFEOM3患者是由于TUBB3基因突变造成,但也有少部分病例是由于KIF21A基因突变引起的。TUBB3是在哺乳动物中发现的6种β-微管蛋白其中之一[7]。由TUBB3中富集的纯化微管蛋白比其他同型展现出更为显著的活力特性,且其他的表达主要集中于神经系统[16]。在轴突的引导与成熟阶段,TUBB3的表达达到高峰,在成人中枢神经系统(central nervous system,CNS)中其表达水平则呈现下降趋势,但在外周神经系统(peripheral nervous system,PNS)中的表达水平仍然很高[17]。人类脑干眼运动神经元的发育过程对细胞骨架蛋白质以及轴突导向相关基因的突变极为敏感,这一特征进一步凸显了TUBB3在神经系统发育与功能维护中的重要作用[18-19]。所有TUBB3基因突变均对微管的动态不稳定性产生显著影响,正常TUBB3基因在哺乳动物的轴突引导和维持过程中扮演至关重要的角色。TUBB3基因突变会导致一系列具有基因型-表型相关性的神经系统疾病,称为TUBB3综合征[7]。
CFEOM的治疗方式:1)非手术治疗,尽早矫正屈光不正和弱视治疗;2)手术治疗,手术目的主要是矫正或改善第一眼位的斜视和代偿头位,对眼球运动无明显改善。手术总体原则是先矫正斜视,再矫正上睑下垂[20]。受累肌肉大量后徙。关于上睑下垂手术,由于多数患者无Bell现象,存在暴露性角膜病变的风险,建议适当欠矫,矫正上睑下垂的目的是防止剥夺性弱视。这类患者的手术效果差,结果难以预测,手术可能需分次或多次进行[21]。
综上所述,笔者报告了1个CFEOM的家系,并证实TUBB3基因是CFEOM的致病基因。CFEOM是一种罕见的先天性非进行性疾病,具有多种眼外肌限制,可根据临床特征和遗传学进行诊断和分类,但治疗方式选择有限且治疗困难,仍需进一步探索。
The congenital cranial dysinnervation disorders
[J]. Arch Dis Child, 2015, 100(7): 678-681. https://doi.org/10.1136/archdischild-2014-307035.KIF21A pathogenic variants cause congenital fibrosis of extraocular muscles type 3
[J]. Ophthalmic Genet, 2021, 42(2): 195-199. https://doi.org/10.1080/13816810.2020.1852576.Congenital fibrosis of the extra-ocular muscles (CFEOM) and the cranial dysinnervation disorders
[J]. Eye, 2020, 34(2): 251-255. https://doi.org/10.1038/s41433-019-0700-z.Disease-associated mutations in human TUBB3 disturb netrin repulsive signaling
[J/OL]. PLoS One, 2019, 14(6): e0218811[Standards and guidelines for the interpretation of sequence variants: a joint consensus recommendation of the American College of Medical Genetics and Genomics and the Association for Molecular Pathology
[J]. Genet Med, 2015, 17(5): 405-424. https://doi.org/10.1038/gim. 2015.30.Recommendations for interpreting the loss of function PVS1 ACMG/AMP variant criterion
[J]. Hum Mutat, 2018, 39(11): 1517-1524. https://doi.org/10.1002/humu.23626.Human TUBB3 mutations perturb microtubule dynamics, kinesin interactions, and axon guidance
[J]. Cell, 2010, 140(1): 74-87. https://doi. org/10.1016/j.cell.2009.12.011.Human TUBB3 mutations disrupt netrin attractive signaling
[J]. Neuroscience, 2018, 374: 155-171. https://doi.org/10.1016/j.neuroscience.2018.01.046.Assignment of a new congenital fibrosis of extraocular muscles type 3 (CFEOM3) locus, FEOM4 based on a balanced translocation t(2;13) (q37.3;q12.11) and identification of candidate genes
[J]. J Med Genet, 2005, 42(3): 253-259. https://doi.org/10.1136/jmg.2004.021899.Magnetic resonance imaging evidence for widespread orbital dysinnervation in congenital fibrosis of extraocular muscles due to mutations in KIF21A
[J]. Invest Ophthalmol Vis Sci, 2005, 46(2): 530-539. https://doi.org/10.1167/iovs.04-1125.Human CFEOM1 mutations attenuate KIF21A autoinhibition and cause oculomotor axon stalling
[J]. Neuron, 2014, 82(2): 334-349. https://doi.org/10.1016/j.neuron.2014.02.038.Heterozygous mutations of the kinesin KIF21A in congenital fibrosis of the extraocular muscles type 1 (CFEOM1)
[J]. Nat Genet, 2003, 35(4): 318-321. https://doi.org/10.1038/ng1261.Three novel mutations in KIF21A highlight the importance of the third coiled-coil stalk domain in the etiology of CFEOM1
[J]. BMC Genet, 2007, 8: 26. https://doi.org/10.1186/1471-2156-8-26.Neurological features of congenital fibrosis of the extraocular muscles type 2 with mutations in PHOX2A
[J]. Brain, 2006, 129(Homozygous mutations in ARIX(PHOX2A) result in congenital fibrosis of the extraocular muscles type 2
[J]. Nat Genet, 2001, 29(3): 315-320. https://doi.org/10.1038/ng744.Class III beta-tubulin isotype: a key cytoskeletal protein at the crossroads of developmental neurobiology and tumor neuropathology
[J]. J Child Neurol, 2003, 18(12):Differential regulation of beta III and other tubulin genes during peripheral and central neuron development
[J]. J Cell Sci, 1992, 103 ( Pt 3): 643-651. https://doi.org/10.1242/jcs.103.3.643.Human CHN1 mutations hyperactivate alpha2-chimaerin and cause Duane’s retraction syndrome
[J]. Science, 2008, 321(5890): 839-843. https://doi.org/10.1126/science.1156121.Identification of KIF21A mutations as a rare cause of congenital fibrosis of the extraocular muscles type 3 (CFEOM3)
[J]. Invest Ophthalmol Vis Sci, 2004, 45(7): 2218-2223. https://doi.org/10.1167/iovs. 03-1413.Congenital fibrosis of the extraocular muscles: review of recent literature
[J]. Curr Opin Ophthalmol, 2019, 30(5): 314-318. https://doi.org/10.1097/ICU. 0000000000000592.作者声称无任何利益冲突。
李敏, 齐欣, 李筠萍, 童博玎. TUBB3基因突变致先天性眼外肌纤维化综合征1例家系报道[J]. 中南大学学报(医学版), 2025, 50(7): 1282-1288. DOI:10.11817/j.issn.1672-7347.2025.240596
LI Min, QI Xin, LI Yunping, TONG Boding. A family report on congenital fibrosis of extraocular muscles syndrome caused by TUBB3 gene mutation[J]. Journal of Central South University. Medical Science, 2025, 50(7): 1282-1288. DOI:10.11817/j.issn.1672-7347.2025.240596
http://xbyxb.csu.edu.cn/xbwk/fileup/PDF/2025071282.pdf
http://dx.chinadoi.cn/

