脐带是胎儿与母体进行物质交换的重要通道,脐动脉围绕脐静脉的螺旋状走行及脐血管周围的华通胶能避免血管受压。脐带过度螺旋可能对胎儿血液循环造成影响,引起胎儿宫内缺氧,严重时引起血管闭塞或血栓形成[1]。超声观察脐带过度螺旋,测量螺旋密集程度及血流动力学指标是近几年来围产医学研究的热点。目前脐带螺旋结构的超声定量评估指标有脐带螺旋指数(umbilical coiling index,UCI)和脐带螺距值,但使用UCI和螺距值诊断脐带过度螺旋仍处于探索阶段。有研究[2]表明脐带过度螺旋可能导致胎儿生长受限、低出生体质量和胎心异常,甚至胎死宫内;但也有研究[3-4]表明其与不良妊娠结局无明显相关性。产前超声过度诊断可能会给孕妇带来不必要的焦虑、医源性早产及医疗纠纷[5]。本研究旨在通过测量UCI、螺距值及血流动力学指标脑-胎盘率,探讨其预测不良妊娠结局的潜在价值。
对象与方法
伦理声明
本研究已获得长沙市妇幼保健院伦理委员会批准(审批号:EC-20230823-22)。
研究对象
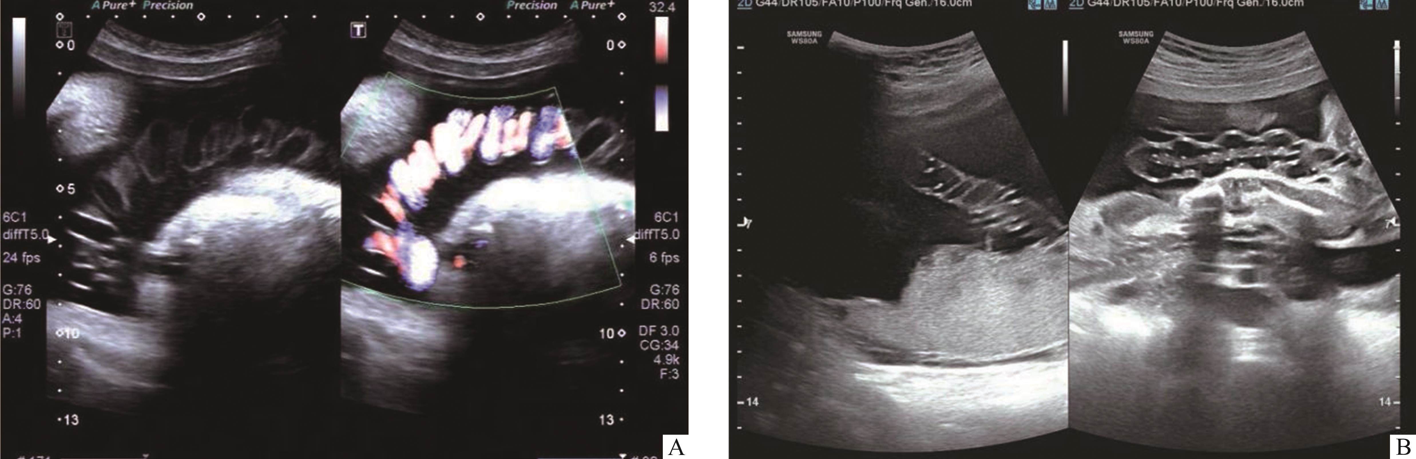
选取2022年11月至2024年11月期间在长沙市妇幼保健院产科门诊就诊、进行规律产检并住院生产、二维超声检查及彩色多普勒超声发现脐带螺旋密集的孕妇作为研究对象(n=262)。纳入标准[1, 6-7]:二维超声检查及彩色多普勒血流成像(color doppler flow imaging,CDFI)发现脐带螺旋圈数≥l2周,脐静脉和脐动脉管径变窄,在不同层次的长轴切面呈密集绳索状、麻花状或对称串珠状等声像(图1),脐带包膜和血管壁的线状强回声与脐带长轴相交角度变小或接近水平位。排除标准:1)双胎妊娠;2)脐带其他异常(如脐带真结、脐带囊肿等);3)胎盘异常(如胎盘早剥、胎盘肿瘤等);3)胎儿畸形;4)严重产科合并症,如子痫前期和溶血、肝酶升高及血小板减少(hemolysis, elevated liver enzymes, and low platelets,HELLP)综合征;5)合并全身性疾病,如自身免疫性疾病(系统性红斑狼疮、抗磷脂综合征等)、未控制的内分泌疾病(甲状腺功能异常、库欣综合征等)。
2025年7期/10.11817j.issn.1672-7347.2025.250160/alternativeImage/C7260B75-C96A-4a09-A771-1F39EF19931B-F001.jpg)
仪器与方法
采用GE VOLUSON E10、GE VOLUSON E8等彩色多普勒超声诊断仪,经腹探头,探头频率为3.5~5.0 MHz。先行产科超声常规检查与测量,随后重点观察脐带,取脐带螺旋最密集部位,在长轴上测量脐静脉-静脉间距(cm),即螺旋间距,在脐带横切面测得脐带直径(cm),UCI为螺旋间距的倒数[8],脐带螺距值为螺旋间距与脐带直径之比,取3次测量的平均值。利用频谱多普勒测量脐动脉及胎儿大脑中动脉血流频谱,选取其中大脑中动脉搏动指数(pulsatility index of middle cerebral artery,PIMCA)与脐动脉搏动指数(pulsatility index of umbilical artery,PIUA)进行比值计算,得出胎儿脑-胎盘率(PIMCA/PIUA)。脑-胎盘率判断标准:脑-胎盘率≥1为正常,脑-胎盘率<1即为异常[9]。每2~4周进行规律超声复查,样本检测值以产前最后1次检查结果为准。
临床资料收集及分组
收集孕妇的一般情况(年龄、分娩孕周、产次、是否肥胖[10])、妊娠期合并症情况(妊娠糖尿病、妊娠高血压)、新生儿出生情况(脐血PH、1 min Apgar评分、呼吸支持类型、转诊新生儿科情况)等完整的临床资料。以脐血pH值、1 min Apgar评分、出生体重、分娩孕周、呼吸支持类型、转诊新生儿科等因素[11-14]建立改良的预后风险评分(表1),其中死胎记12分。计算预后评分,评分为0~2的新生儿为预后正常组(n=177),3~12的为预后不良组(n=85)。预后不良组进一步分为3个亚组,其中3~4分者为预后轻度不良组(n=51),5~6分者为预后中度不良组(n=19),7~12分者为重度不良组(n=15)。比较预后正常组与预后不良组一般情况、临床资料、UCI、螺距值及脑-胎盘率<1发生率的差异,并比较预后正常组与预后不良的3个亚组UCI和螺距值的差异。分析UCI、螺距值与不良妊娠结局的相关性。
| 评分 | 0 | 1 | 2 |
|---|---|---|---|
| 脐血pH值 | ≥7.2 | ≥7.1~<7.2 | <7.1 |
| 1 min Apgar评分 | ≥8 | 6~7 | ≤5 |
| 出生体重百分位 | ≥10th | ≥3rd~<10th | <3rd |
| 分娩孕周 | ≥37 | ≥32~<37 | <32 |
| 呼吸支持类型 | 无需 | 吸氧 | 气管插管 |
| 转诊新生儿科 | 无需 | 新生儿科 | NICU |
统计学处理
采用SPSS 26.0统计学软件进行分析。符合正态分布的计量资料以均数±标准差表示,2组间比较采用独立样本t检验;不符合正态分布的计量资料以中位数(第1四分位数,第3四分位数)表示,2组间比较采用Mann-Whitney U检验,多组间比较采用Kruskal-Wallis H检验。计数资料以例(%)表示,组间比较采用χ2检验或Fisher’s确切概率法。采用Spearman秩相关分析比较各指标的相关性。通过绘制受试者操作特征(receiver operating characteristic,ROC)曲线计算UCI、螺距值、脑-胎盘率<1的曲线下面积(area under the curve,AUC),评估上述指标对不良妊娠结局的预测价值。P<0.05为差异有统计学意义。
结 果
一般情况及临床资料比较
预后不良组年龄大于预后正常组,产次高于预后正常组,分娩孕周低于预后正常组(均P<0.05)。2组肥胖、妊娠糖尿病和妊娠高血压的发生率差异均无统计学意义(均P>0.05,表2)。
| 指标 | n | 年龄/岁 | 产次 | 分娩孕周 | 肥胖/[例(%)] | 妊娠糖尿病/[例(%)] | 妊娠高血压/[例(%)] |
|---|---|---|---|---|---|---|---|
| 预后正常组 | 177 | 29.6±4.2 | 0(0, 1) | 39(38, 40) | 9(5.1) | 20(11.3) | 6(3.4) |
| 预后不良组 | 85 | 30.8±4.4 | 1(0, 1) | 36(33, 37) | 4(4.7) | 7(8.2) | 7(8.2) |
| t/H/χ2 | -2.127* | -2.676† | -11.434† | ―‡ | 0.583§ | ―‡ | |
| P | <0.001 | 0.007 | <0.001 | 0.580 | 0.445 | 0.086 |
预后正常组与预后不良组UCI、螺距值
和脑-胎盘率<1发生率的比较
预后不良组UCI和脑-胎盘率<1发生率均高于预后正常组,螺距值低于预后正常组(均P<0.05,表3)。
| 指标 | n | UCI | 螺距值 | 脑-胎盘率<1/[例(%)] |
|---|---|---|---|---|
| 预后正常组 | 177 | 0.55(0.53, 0.58) | 1.20(1.12, 1.31) | 9(5.1) |
| 预后不良组 | 85 | 0.63(0.59, 0.68) | 1.02(0.96, 1.08) | 28(32.9) |
| H/χ2 | -8.854* | -10.110* | 36.742† | |
| P | <0.001 | <0.001 | <0.001 |
预后正常组、预后轻度不良组、预后中度不良组和预后重度不良组UCI、螺距值的比较
4组UCI和螺距值差异均有统计学意义(均P<0.001);其中预后正常组UCI均低于预后不良的3个亚组,螺距值均高于预后不良的3个亚组,差异均有统计学意义(均P<0.05);预后不良的3个亚组组间UCI和螺距值的差异均无统计学意义(均P>0.05,表4)。
| 组别 | UCI | 螺距值 |
|---|---|---|
| 预后正常组 | 0.55(0.53, 0.58) | 1.20(1.12, 1.31) |
| 预后轻度不良组 | 0.62(0.58, 0.65)* | 1.05(0.99, 1.10)* |
| 预后中度不良组 | 0.65(0.61, 0.71)* | 0.94(0.92, 1.03)* |
| 预后重度不良组 | 0.70(0.59, 0.75)* | 1.01(0.96, 1.07)* |
| H | 83.537 | 106.603 |
| P | <0.001 | <0.001 |
UCI、螺距值与不良妊娠结局的相关性分析
相关性分析结果表明:UCI与不良妊娠结局呈正相关(rs=0.350,P=0.001),螺距值与不良妊娠结局呈负相关(rs=-0.286,P=0.008)。
UCI、螺距值、脑-胎盘率<1对不良妊娠结局的预测价值
ROC曲线分析结果(表5,图2)显示:UCI、螺距值和脑-胎盘率<1预测不良妊娠结局的AUC分别为0.837、0.886和0.610,敏感度分别为77.6%、82.4%和27.1%,特异度分别为78.5%、83.6%和94.9%;UCI与脑-胎盘率<1联合及螺距值与脑-胎盘率联合预测的AUC分别为0.841及0.886,敏感度分别为78.8%及81.2%,特异度分别为78.5%及84.2%。UCI、螺距值单独预测不良妊娠结局的AUC差异无统计学意义(Z=-1.930,P=0.054),但均优于脑-胎盘率<1预测的AUC(Z=7.114,P<0.001;Z=10.213,P<0.001);UCI与脑-胎盘率<1联合及螺距值与脑-胎盘率<1联合预测的AUC与UCI、螺距值单独预测的AUC比较,差异均无统计学意义(均P>0.05),但均优于脑-胎盘率<1单独预测的AUC(Z=-8.024,P<0.001;Z=-9.890,P<0.001)。
| 指标 | AUC | 截断值 | P | 敏感度/% | 特异度/% | 95% CI |
|---|---|---|---|---|---|---|
| UCI | 0.837 | 0.585 | <0.001 | 77.6 | 78.5 | 0.786~0.889 |
| 螺距值 | 0.886 | 1.085 | <0.001 | 82.4 | 83.6 | 0.844~0.927 |
| 脑-胎盘率<1 | 0.610 | 0.494 | 0.004 | 27.1 | 94.9 | 0.533~0.687 |
| UCI、脑-胎盘率<1联合 | 0.841 | <0.001 | 78.8 | 78.5 | 0.790~0.892 | |
| 螺距值、脑-胎盘率<1联合 | 0.886 | <0.001 | 81.2 | 84.2 | 0.845~0.927 |
2025年7期/10.11817j.issn.1672-7347.2025.250160/alternativeImage/C7260B75-C96A-4a09-A771-1F39EF19931B-F002.jpg)
讨 论
脐带过度螺旋的确切发生原因不明。有研究[15]认为非免疫性水肿可能与脐带过度螺旋有关,脐带过度螺旋可能与孕产妇情况有关,高龄产妇、腹壁松弛的经产妇更容易发生脐带过度螺旋。也有学者[16]认为脐带过度螺旋可能与脐带发育不良引起的华通胶减少有关。
最初只能在产后通过测量脐带螺旋的实际个数来判断脐带螺旋。Degani等[17]发现产前UCI与产后UCI有相关性,认为超声测量UCI有重要意义。有学者[8]提出利用超声测量脐带螺距值,认为螺距值为产前诊断脐带过度螺旋提供更具体、更客观的量化标准。但也有学者[5]对将螺距值<2作为判别脐带过度螺旋和生理性螺旋的诊断标准提出质疑,认为此判断标准仅基于研究对象出现脐动脉血流频谱阻力指数降低和脐静脉频谱波动来定义,并未将该指标和妊娠结局进行对比,螺距值<2和不良妊娠结局的关系未阐明。本研究增加了血流动力学研究指标脑-胎盘率进行评估,且使用预后评分来对比螺距值和妊娠结局的关系,研究结果显示当螺距值为1.085时,约登指数最大,补充了螺距值与不良妊娠结局的关系。
UCI为每cm长度脐带螺旋的周数,由于不同研究的UCI正常参考值范围差异大,目前尚无被广泛认可的UCI正常参考值,原因在于研究类型大多为队列研究而非随机对照研究,且样本量较小(81~600例);不同研究的纳入以及排除标准存在明显差异,研究对象选择偏倚大。例如Degani等[17]报道的是小于胎龄儿的高危孕妇群体,Mittal等[18]仅将胎儿因素(胎儿畸形、羊水量异常、单脐动脉)作为排除标准,并未排除可能影响脐带过度螺旋发生的母体因素。不同国家医疗质量存在差异,存在实施偏倚。在研究设计方面,采用双盲设计的研究少,多数研究忽略了UCI随着孕周的增长而减小,孕中晚期减小的速率较慢的特点。本研究采用超声医师与产科、新生儿科临床医师双盲对照的研究方法,将胎儿及母体因素均纳入排除标准,排除了高危妊娠可能带来的影响,并通过纵向动态监测替代单次测量,增加测量螺距值(脐静脉-静脉间距与脐带直径的比值),排除了孕周增长的影响。脐带螺旋密集可能与宫内生长受限、胎儿窘迫、胎儿酸中毒、胎儿畸形、小于胎龄儿、新生儿窒息等不良妊娠结局有关[19-21]。有研究[22]报道了宫内死胎中脐带过度螺旋的发生率为18%,在合并有脐带过度螺旋的死胎中更容易发现脐血管血栓形成。脐带过度螺旋有可能影响胎盘成熟,其与胎儿组织缺血缺氧有关联,可能引起胎儿发育不良或宫内死亡[23-24]。但部分学者[8]认为脐带过度螺旋很少引起不良妊娠结局,其造成的胎死宫内较罕见,是无法预防的偶然事件。部分研究报道其与胎儿生长受限、胎儿窘迫相关,这些结论多源于小样本研究,如Mittal等[18]纳入的20例脐带过度螺旋胎儿中存在2例胎儿生长受限,且存在孕妇高血压未控制等混杂因素。相反,Jessop等[25]的大样本研究证实低危孕妇中螺旋结构异常与不良妊娠结局无关,这些差异可能由于样本选择偏倚,如阳性研究针对高危孕妇,而阴性研究纳入低危孕妇。本研究结果显示脐带过度螺旋病例大部分预后良好,仅有小部分病例产生严重不良妊娠结局。本研究和Jessop等[25]的研究严格排除混杂因素,证实单纯螺旋异常在低危人群中风险有限。脐带过度螺旋定量指标与妊娠结局严重程度相关性的报道较少,本研究以脐血pH值、1 min Apgar评分、出生体重、分娩孕周、呼吸支持类型、转诊新生儿科等因素建立改良的预后风险评分,对于评估妊娠结局具有参考价值。
本研究结果显示:预后不良组年龄、产次、脑-胎盘率<1发生率、UCI高于预后正常组,分娩孕周、螺距值低于预后正常组。预后不良组组间UCI和螺距值的差异无统计学意义,说明UCI和螺距值能有效区分预后正常与预后不良组,但对不良预后的严重程度无区分力。相关性分析结果显示UCI和不良妊娠结局存在正相关关系,螺距值和不良妊娠结局存在负相关关系。通过ROC曲线分析妊娠结局情况,结果显示螺距值预测预后不良发生的AUC为0.886(95% CI 0.844~0.927),当螺距值为1.085时,约登指数最大;UCI预测预后不良发生的AUC为0.837(95% CI 0.786~0.889),当UCI为0.585时,约登指数最大。UCI和螺距值的AUC值较高,对不良妊娠结局的预测能力较强,敏感度和特异度较为均衡。在正常妊娠发展过程中,胎儿大脑中动脉血流PI均高于脐动脉血流PI,且脑-胎盘率≥1。胎儿脑-胎盘率的比值降低一般早于胎心监护呈阳性、胎儿生物物理评分降低,是对胎儿低氧状态下血流再分配相对平衡状态的可靠评价,可作为早期预测胎儿宫内低氧的临界值[26]。本研究中预后不良组脑-胎盘率<1发生率高于预后正常组,其预测预后不良发生的AUC为0.610(95% CI 0.533~0.687)。脑-胎盘率<1对脐带过度螺旋不良妊娠结局的预测性能为低敏感度(27.1%)和高特异度(94.9%),说明该指标对实际未发生不良妊娠结局的样本的识别能力较强,误诊率较低。
脐带过度螺旋可能偶尔与胎儿或胎盘异常有关,如胎儿非免疫性水肿、胎盘功能不全、胎儿心律不齐、胎儿宫内生长受限、胎儿心力衰竭、羊水过少等,若超声检查发现以上胎儿改变可能有利于临床处理[8]。Xie等[27]通过超声对于6项高危因素(膀胱两侧脐动脉高阻力、胎儿生长受限、大脑中动脉舒张期峰值流速增快、羊水过少、脑实质回声增强、静脉导管α波反向)建立了影响脐带过度螺旋患者临床干预方式和妊娠结局的超声预警系统。本研究结果表明:UCI与脑-胎盘率<1联合预测不良妊娠结局的AUC为0.841(95% CI 0.790~0.892),敏感度为78.8%,特异度为78.5%;螺距值与脑-胎盘率<1联合预测不良妊娠结局的AUC为0.886(95% CI 0.845~0.927),敏感度为81.2%,特异度为84.2%。UCI、脐带螺距值与脑-胎盘率的联合检测可为建立更完善的脐带过度螺旋超声预警系统提供参考。本研究通过量化阈值划分和多参数联合评估,避免对单纯螺旋过度者的过度干预,同时不漏诊真正高风险者,但其临床推广仍需多中心验证,尤其需避免单一指标决策,仅以UCI和螺距值单独判断不良妊娠结局的严重程度在临床上需慎重。
本研究尚存在局限性:二维和彩色多普勒血流超声对脐带螺旋结构的观察存在局限性,若存在脐带周围羊水面积小、胎儿肢体遮挡、孕周过大、胎位影响等各种因素,脐带均不能全程、清晰地被显示,增加了对脐带螺旋结构判断的困难。目前产前超声对脐带形态学的评估仍缺乏统一标准,对脐带过度螺旋的形态学判断在很大程度上依赖超声医生的主观判断。今后可应用超声三维新技术来观察脐带[28],有助于产前更精准地评估脐带过度螺旋。未来可进行更严谨的多中心、大样本量的研究来制订脐带过度螺旋定量指标的正常参考值范围。
综上所述,脐带过度螺旋者大部分预后良好,仅有小部分病例产生严重不良妊娠结局。UCI、螺距值和脑-胎盘率<1各指标单独及UCI与脑-胎盘率<1联合、螺距值和脑-胎盘率<1联合对不良妊娠结局均有预测价值。超声测量脐带过度螺旋定量指标UCI、脐带螺距值及血流动力学指标脑-胎盘率可为加强对孕妇和胎儿的产前监护、减少医源性早产、选择合理的分娩方式提供参考。
Estimating umbilical cord flow resistance from measurements of the whole cord
[J]. Placenta, 2021, 103: 180-187. https://doi.org/10.1016/j.placenta. 2020.09.066.超声监测脐带螺旋疏松与妊娠结局的研究
[J]. 中国超声医学杂志, 2022, 38(7): 836-839. https://doi. org/10.3969/j.issn.1002-0101.2022.07.035.Pathophysiological significance of abnormal umbilical cord coiling index
[J]. Ultrasound Obstet Gynecol, 2007, 30(6): 804-806. https://doi.org/10.1002/uog.5180.基于循证医学的产前超声检查对脐带螺旋结构的评价及其误区
[J]. 中华妇产科杂志, 2019, 54(2): 126-130. https://doi.org/10.3760/cma.j.issn.0529-567x.2019.02.013.Gross patterns of umbilical cord coiling: correlations with placental histology and stillbirth
[J]. Placenta, 2013, 34(7): 583-588. https://doi. org/10.1016/j.placenta.2013.04.002.彩色多普勒超声诊断脐带扭转
[J]. 中华妇产科杂志, 1999, 34(7): 431. https://doi.org/10.3760/j. issn:0529-567X.1999.07.017.The umbilical coiling index
[J]. Am J Obstet Gynecol, 1994, 170(1): 29-32. https://doi.org/10.1016/S0002-9378(94)70378-7.Role of Cerebro-Placental Doppler Ratio in prediction of perinatal outcome in Intrauterine Growth Restriction
[J]. The Egypt J Ferty Steri, 2021, 25(3): 44-54. https://doi.org/10.21608/egyfs.2021.195177.肥胖症中国诊疗指南(2024年版)
[J]. 协和医学杂志, 2025, 16(1): 90-108. https://doi.org/10.12290/xhyxzz.2024-0918.超声检测妊娠期高血压疾病患者胚胎心率对妊娠结局的预测价值
[J]. 中国妇幼保健, 2021, 36(17): 4132-4134. https://doi.org/10.19829/j.zgfybj.issn.1001-4411. 2021.17.073.晚孕期羊水过少胎儿彩色多普勒超声血流检测预测胎儿妊娠结局的价值
[J]. 中国妇幼保健, 2022, 37(19): 3660-3664. https://doi.org/10.19829/j.zgfybj.issn. 1001-4411.2022.19.046.The abnormal umbilical venous-arterial index in the second half of pregnancy is associated with fetal outcome: a retrospective cross-sectional study
[J]. Front Pediatr, 2023, 11: 1036359. https://doi.org/10. 3389/fped.2023.1036359.A combination of umbilical artery PI and normalized blood flow volume in the umbilical vein: Venous-arterial index for the prediction of fetal outcome
[J]. Eur J Obstet Gynecol Reprod Biol, 2009, 142(2): 129-133. https://doi.org/10.1016/j.ejogrb.2008.10.015.Prenatal observation of umbilical cord torsion with subsequent premature labor and delivery of a 31-week infant with mild nonimmune Hydrops
[J]. Am J Obstet Gynecol, 1995, 172(3): 1048-1049. https://doi.org/10.1016/0002-9378(95)90045-4.Prenatal diagnosis of a lean umbilical cord: a simple marker for the fetus at risk of being small for gestational age at birth
[J]. Ultrasound Obstet Gynecol, 1999, 13(3): 176-180. https://doi.org/10.1046/j.1469-0705.1999.13030176.x.Sonographic estimation of umbilical coiling index and correlation with Doppler flow characteristics
[J]. Obstet Gynecol, 1995, 86(6): 990-993. https://doi.org/10.1016/0029-7844(95)00307-d.Antenatal umbilical coiling index as a predictor of perinatal outcome
[J]. Arch Gynecol Obstet, 2015, 291(4): 763-768. https://doi.org/10.1007/s00404-014-3456-5.脐带过度扭转新生儿结局
[J]. 中华新生儿科杂志(中英文), 2022, 37(3): 250-253. https://doi. org/10.3760/cma.j.issn.2096-2932.2022.03.013.Umbilical Cord Coiling Index at Term Gestation and Its Association with Perinatal Outcomes
[J]. Indian J Public Health Res Dev, 2022, 13(1): 69. https://doi. org/10.37506/ijphrd.v13i1.17322.Is there a relationship between the umbilical cord coiling index and oxidative stress markers and SGA fetuses?
[J]. Med Sci Discov, 2021, 8(5): 310-314. https://doi.org/10.36472/msd.v8i5.538.Umbilical hypercoiling in 2nd- and 3rd-trimester intrauterine fetal death
[J]. Pediatr Dev Pathol, 2015, 18(1): 10-16. https://doi.org/10.2350/13-10-1390-OA.1.Hypercoiling of the umbilical cord and placental maturation defect: associated pathology?
[J]. Pediatr Dev Pathol, 2007, 10(4): 293-299. https://doi.org/10.2350/06-01-0015.1.围产期死亡胎儿105例尸体解剖及胎盘病理学检查分析
[J]. 中华病理学杂志, 2022, 51(5): 431-436. https://doi.org/10.3760/cma.j.cn112151-20210908-00657.Umbilical cord coiling: clinical outcomes in an unselected population and systematic review
[J]. Virchows Arch, 2014, 464(1): 105-112. https://doi.org/10.1007/s00428-013-1513-2.Abnormal fetal cerebral and umbilical Doppler measurements in fetuses with intrauterine growth restriction predicts the severity of perinatal morbidity
[J]. J Clin Ultrasound, 2001, 29(3): 146-151. https://doi.org/10.1002/1097-0096(200103/04)29:3<146::aid- jcu1014>3.0.co;2-i.Analysis of ultrasound clinical early warning system in hyper-coiling umbilical cord
[J]. Chin Med J (Engl), 2023, 136(20): 2516-2517. https://doi.org/10.1097/CM9. 0000000000002776.时间-空间关联成像联合高分辨率血流显像对脐带异常的诊断价值
[J]. 中国医学影像学杂志, 2022, 30(12): 1263-1266, 1271. https://doi.org/10.3969/j.issn. 1005-5185.2022.12.012.作者声称无任何利益冲突。
谭筱檀, 周启昌, 袁红霞, 侯达, 朱云芳, 姚如骥. 超声测量脐带过度螺旋定量指标及血流动力学指标对不良妊娠结局的预测价值[J]. 中南大学学报(医学版), 2025, 50(7): 1179-1187. DOI:10.11817/j.issn.1672-7347.2025.250160
TAN Xiaotan, ZHOU Qichang, YUAN Hongxia, HOU Da, ZHU Yunfang, YAO Ruji. Predictive value of ultrasound-derived quantitative indicators of umbilical cord hypercoiling and hemodynamic parameters for adverse pregnancy outcomes[J]. Journal of Central South University. Medical Science, 2025, 50(7): 1179-1187. DOI:10.11817/j.issn.1672-7347.2025. 250160
http://xbyxb.csu.edu.cn/xbwk/fileup/PDF/2025071179.pdf
http://dx.chinadoi.cn/10.11817/j.issn.1672-7347.2025.250160

